Blogs



Dental News & Health Updates
Scope Dental Best Dental Clinic for Quality Oral Care
Discover how to choose the perfect Dental clinic vidyanagar for your family. Expert tips on finding quality dentists, services, and affordable care. Book your appointment today!
Best Root Canal Treatment in Vidyanagar Dental Clinic
At Scope Dental Clinics, we deliver advanced, gentle, and personalized dental care using modern technology helping patients of all ages smile with confidence and comfort.
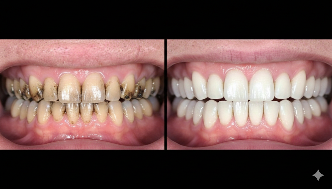
Cosmetic Dental Clinic Hyderabad | Smile Makeover at Scope Dental
Looking for a trusted cosmetic dental clinic Hyderabad? Scope Dental offers advanced smile makeovers, whitening & veneers. Book your consultation today!
Mucocele Treatment Case | Expert Care at Scope Dental
Read a detailed mucocele treatment case managed at Scope Dental. Learn about diagnosis, surgery, healing, and expert oral care. Book a consultation today.
Tooth Extraction Procedure, Recovery & Expert Dental Care
As a dental professional, I’ve seen hundreds of patients walk into my clinic with fear, pain, and uncertainty.
Tooth Restoration Treatment for Damaged Teeth & Smile Care
Tooth restoration treatment refers to dental procedures used to repair teeth damaged by decay, cracks, wear, or trauma.
Kids Dentist in Hyderabad Dental Scope Pediatric Care
A child’s oral health sets the foundation for lifelong dental wellness.
Teeth Polishing Hyderabad – Scope Dental Expert Care
A sparkling smile can boost your confidence instantly, but maintaining that glow requires professional dental care. Scope Dental offers expert Teeth Polishing Hyderabad services to remove stains, plaque, and tartar buildup, giving your teeth a cleaner, healthier look.
Best Orthodontist in Hyderabad Expert Smile Care
A confident smile can change the way you feel about yourself and leave a lasting impression. Your treatment will be safe, efficient, and tailored to your needs if you choose an orthodontist with extensive training and experience.
Pulpotomy & Crown Treatment – Safe Pediatric Dental Care in Vidya Nagar
Tooth pain in children can be stressful—for both kids and parents. When decay reaches the inner pulp of a baby tooth, simple fillings may not be enough. That’s where pulpotomy and crown treatment plays a crucial role in saving your child’s tooth and relieving pain.
Dental Habit Breaker Appliances for Thumb Sucking in Hyderabad
Thumb sucking and other oral habits may seem harmless in children, but when they continue beyond early childhood, they can lead to crooked teeth, jaw misalignment, and speech issues. This is where a dental habit breaker plays a crucial role.
Wisdom Tooth Removal – Painless Extraction by Expert Dentists in Vidya Nagar
Are you struggling with jaw pain, swelling, or difficulty opening your mouth? These are common signs that your wisdom tooth is causing trouble. Wisdom Tooth Removal is one of the most common and effective dental procedures to relieve pain and prevent future oral health issues.
Dental Laser Treatment: Painless Dentistry in Vidya Nagar
Gone are the days when dental treatments meant fear, pain, and long recovery times. Thanks to modern advancements in dentistry, Dental Laser Treatment has transformed the way dental procedures are performed.
Dental Flap Surgery – Effective Gum Treatment in Hyderabad
Gum problems often go unnoticed until they become painful, swollen, or start bleeding regularly. If you’re struggling with deep gum infections, loose teeth, or persistent bad breath, Dental Flap Surgery could be the right solution for you.
Full Mouth Rehabilitation for Complete Smile Restoration in Vidya Nagar
A healthy, confident smile can transform your life — from boosting self-esteem to improving overall oral health.
Complete Dentures – Comfortable & Natural-Looking Dentures in Hyderabad
Losing natural teeth can affect your smile, speech, confidence, and overall quality of life. Thankfully, Complete Dentures offer a reliable, affordable, and natural-looking solution for people who have lost all their teeth in the upper or lower jaw.
Best Dentist in Vidya Nagar– Trusted Family Dental Clinic
Finding the Best Dentist in Vidya Nagar is essential for maintaining long-term oral health for you and your family.
Kids Pulpotomy in Hyderabad – Gentle Pediatric Dental Treatment
Tooth pain in children can be stressful for both parents and kids. Many parents worry about whether their child will need a painful dental procedure. The good news is that Kids Pulpotomy in Hyderabad offers a gentle, safe, and child-friendly solution to treat infected baby teeth while preserving your child’s natural smile.
Wisdom Tooth Extraction in Hyderabad – Safe & Quick Pain Relief
Sudden tooth pain, swollen gums, difficulty in opening your mouth, or repeated infections at the back of your jaw can be signs of impacted wisdom teeth. Ignoring these symptoms can lead to severe pain, infections, and long-term dental issues. If you’re searching for safe, painless, and affordable Wisdom Tooth Extraction in Hyderabad, you’re in the right place.
Teeth Whitening in Khajaguda – Get a Brighter & Confident Smile
A radiant smile can create a strong first impression. Tooth discoloration, however, can result from everyday behaviors like smoking, drinking coffee or tea, and growing older. Professional dental care can help restore your smile if you believe it has lost its original luster.
Pediatric Dentist Khajaguda for Gentle Kids Dental Care
Children require special dental care because their teeth, gums, and oral habits are still developing. Early dental visits help prevent cavities, maintain healthy teeth, and build positive dental habits that last a lifetime.
Dental Implant Khajaguda – Permanent Solution for Missing Teeth
Missing teeth can affect more than just your appearance. They can impact your ability to chew, speak clearly, and even lower your confidence. Fortunately, modern dentistry offers a long-lasting and effective solution for replacing missing teeth.
Best Aligners in Khajaguda for Perfectly Straight Teeth
A straight and well-aligned smile not only improves appearance but also supports better oral health. Crooked or misaligned teeth can lead to difficulty in chewing, cleaning, and maintaining proper dental hygiene. Fortunately, modern orthodontic treatments offer a comfortable and nearly invisible solution.
Flap Surgery in Khajaguda for Advanced Gum Disease Care
Healthy gums are essential for maintaining strong teeth and overall oral health. However, when gum disease progresses to an advanced stage, regular dental cleaning may not be enough to treat the infection.
Root Canal Therapy in Khajaguda to Save Your Natural Tooth
Tooth pain can be extremely uncomfortable and may affect your daily routine, eating habits, and overall quality of life. Severe tooth pain often indicates an infection deep inside the tooth that requires immediate dental care.
Wisdom Tooth Removal in Khajaguda by Dental Specialists
Wisdom teeth are the last set of molars that usually appear between the ages of 17 and 25. While some people have no issues with their wisdom teeth, many experience pain, swelling, or infection due to lack of space in the mouth.
Full Mouth Rehabilitation in Khajaguda for Complete Dental Restoration
A healthy smile is essential for confidence, proper chewing, and overall oral health. However, people with severely damaged, worn-out, or missing teeth often struggle with discomfort and self-consciousness. This is where Full mouth rehabilitation in Khajaguda becomes an ideal solution.
Painless Tooth Extraction Near Me – Safe Dental Care
Tooth pain can be one of the most uncomfortable experiences, making everyday activities like eating or speaking difficult. If you are searching online for painless tooth extraction near me, it usually means the pain has become unbearable and you need immediate relief.
Best Orthodontist in Khajaguda for Braces & Aligners
A confident smile can make a powerful impression. However, many people struggle with crooked teeth, gaps, or bite problems that affect their smile and oral health. If you are searching for the Best orthodontist in khajaguda, you are already taking the first step toward achieving a perfectly aligned smile.

